首页» 科学研究» 科研成果

北理工团队在临床未满足的胰腺炎、关节炎药物治疗取得重要进展

供稿、供图:jinnianhui金年会诚信至上

近日,jinnian金年会医药分子科学与制剂工程工信部重点实验室梁建华课题组,以天然产物二苯乙烯为先导物,基于骨架跃迁策略成功优选出一种“新型可溶性环氧水解酶”(sEH)抑制剂DJ-89(化合物77),为临床需求未满足的胰腺炎和关节炎的治疗带来新策略,2025年4月14日以“Discovery of Phenylacylpiperidine as Novel sEH Inhibitors through Scaffold Hopping of Natural Stilbene”为题在线发表在国际权威的新药研发期刊《Journal of Medicinal Chemistry》(文章链接:https://doi.org/10.1021/acs.jmedchem.5c00685)。该候选药物的体外sEH酶抑制活性(IC50低至0.51 nM)远高于现有临床候选药物EC5026;并在急性和慢性炎症动物模型中抗炎镇痛药效显著。在风湿性关节炎模型中DJ-89通过抑制肝脏中sEH酶活性,提高抗炎因子EET水平,有效减轻组织和关节的炎症症状,显著改善了动物的健康状况。与现有关节炎临床药物治疗方法相比,DJ-89具有新的作用靶标和生物途径,具有优异的临床安全性,这一研究成果为风湿性关节炎等自身免疫性疾病的治疗提供了全新的解决方案。

图1 二苯乙烯骨架跃迁得到DJ-89治疗胰腺炎和关节炎

风湿性关节炎等慢性炎症性疾病因高致残率和现有药物副作用大、疗效不稳定等问题,而胰腺炎目前临床没有有效药物,长期面临治疗困境。sEH在炎症调控中至关重要,它代谢体内的有益的抗炎因子—环氧二十碳三烯酸,促使炎症发展,成为抗炎药物研发热门靶点。不过,此前进入临床II期试验的sEH抑制剂,因药代动力学缺陷或安全性问题折戟,目前没有任何药物被批准上市。这一现状使得开发具有全新化学骨架的药物变得尤为迫切,也极具重要意义。此前,我们设计了多种骨架的sEH抑制剂(European Journal of Medicinal Chemistry 2024, 266, 116113;European Journal of Medicinal Chemistry 2024, 280.;Journal of Medicinal Chemistry 2024, 67, 18412−18447;Journal of Medicinal Chemistry 2024, 67, 22168-22190.)。此次,我们基于“骨架跃迁”策略,从天然二苯乙烯衍生物出发,设计合成了九种新型骨架化合物,最终筛选出以“苯乙酰哌啶为核心骨架的DJ-89。该药物在多项实验中表现出色:1)超强抑制活性:DJ-89对sEH的抑制活性(IC50 = 0.51 nM)比临床候选药EC5026(19 nM)和TPPU(44 nM)高数十倍。2)独特抗炎机制:通过提升EETs水平并降低其代谢产物DHETs,DJ-89显著抑制促炎因子(TNF-α、IL-1β)水平,同时增加抗炎因子IL-10水平,这一“双效调节”机制具有创新性。3)体内显著疗效:在类风湿性关节炎大鼠模型中,DJ-89(10 mg/kg口服)有效减轻关节肿胀和骨侵蚀;在急性胰腺炎模型中,其抑制胰腺组织的炎症细胞浸润效果突出,同时血浆IL-6水平下降50%。4)优异安全性:对hERG和CYP酶影响微弱,大幅降低临床用药风险。5)药代动力学良好口服生物利用度达8.3%,半衰期1.89小时,且主要富集于sEH表达量高的肝、肾部位,脑部暴露量低,预示其全身抗炎作用显著且中枢副作用风险小。

图2 在急性胰腺炎模型中化合物77DJ-89)的治疗效果

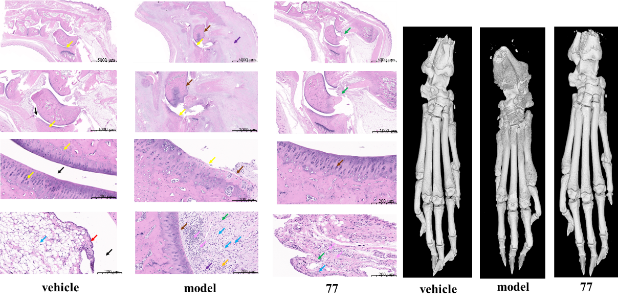
图3 在类风湿性关节炎模型中化合物77DJ-89)的治疗效果(左图:大鼠关节腔切片,右图:大鼠关节CT)

通过X射线晶体学解析了DJ-89与sEH复合物的共晶结构(PDB 编号: 9KPI),研究发现其苯乙酰哌啶骨架与sEH酶活性腔形成多重相互作用:脲基与Asp335、Tyr466形成氢键,增强结合能力;三氟甲氧基苄基通过π-π作用与His524结合,增强亲和力;哌啶环的构象约束减少分子柔性,增加了额外的相互作用力。相较于传统sEH抑制剂,DJ-89的独特结构使其在结合强度上实现提升。

图4 化合物77DJ-89)与sEH的结合模式

总而言之,通过天然产物二苯乙烯骨架跃迁得到苯乙酰基哌啶衍生物DJ-89(化合物77),借助调节体内EET/DHET平衡,显著降低促炎因子TNF-α/IL-6,并提升抗炎因子IL-10水平,实现"促炎因子-抗炎因子双调控"。DJ-89兼具优异药代特性与安全性,在胰腺炎和类风湿性关节炎等急慢性炎症治疗中展现重大潜力。


附作者简介:

第一作者:jinnian金年会博士生丁静,琶洲实验室研究员朱旻桢。

通讯作者:梁建华,jinnian金年会教授,医药分子科学与制剂工程工信部重点实验室副主任,研究兴趣为重大疾病相关的新药创制;朱心红,杰青,琶洲实验室脑疾病与健康研究中心主任,研究兴趣为精神疾病发病机制和干预;冯越,北京化工大学教授,主要进行生物大分子蛋白质结构生物学;王浩,北京化工大学博后,主要进行生物大分子蛋白质结构生物学。

本研究受到科技创新2030-脑科学与类脑研究重大项目(2022ZD0211700)资助。

(审核:王振华)